子どもの今こそ、
“痛みの少ない矯正”を
始めるチャンスです。
「芦屋ひだまり歯科矯正クリニック」のホームページをご覧いただき、ありがとうございます。
当院は、小学生のお子さまの歯並びを美しく改善するためのクリニックです。
お子さまの歯やお口まわりについて、こんなお悩みはありませんか?
「まだ様子を見ていてもいいのか、それとも今すぐ相談すべきなのか……」と迷われている保護者の方はとても多くいらっしゃいます。
ですが、子どもの矯正治療は“始めるタイミング”がとても大切。
成長期だからこそ、抜歯を避けたり、将来の歯並びや顔立ちにも良い影響を与えられたりするのです。
当クリニックでは、小学生のお子さまを中心に、子ども向けの矯正用マウスピースを用いたやさしい矯正治療をご提案しています。
歯並びだけでなく、呼吸や姿勢にも目を向けた総合的なサポートで、お子さまの未来の笑顔を育みます。
「矯正って痛い?続けられる?」
「どんなタイミングで始めればいい?」
そんな疑問をお持ちの方こそ、ぜひこの先をご覧ください。




「芦屋ひだまり歯科矯正クリニック」ができるまで

「マウスピース矯正」に特化した治療院
はじめまして。「芦屋ひだまり歯科矯正クリニック」院長の飛田達宏です。
わたしはこれまで歯科医師として23年以上の経験があり、当クリニックにおいても延べ7000名以上の患者さまの治療に携わってきました。
2010年に当院を開業し、10年ほど前からは、お子さまの歯並びや姿勢を整えるマウスピース矯正に力を入れています。
どうしてわたしが小児矯正に情熱を注ぐようになったのか、その経緯についてこれから少しお話しさせてください。
抜歯と痛みを経験した、わたしの矯正体験
実はわたし自身も、昔から歯並びに悩んでいました。
出っ歯がコンプレックスで、いつかは治したい……と思いながら大人になり、大学時代に同級生から歯並びについて指摘されたことで、ようやく矯正を決意。
当時は今のようなマウスピース矯正はなく、出っ歯を治すために健康な歯を4本抜き、ワイヤーによる矯正を行いました。
かかった期間は、2年間。
結果として歯並びは整いましたが、「痛み」「見た目の悪さ」「食事や歯磨きの不便さ」など、負担も非常に大きかったのを覚えています。
だからこそ、歯科医師として矯正に携わるようになってからは「もっと負担の少ない方法はないのか?」という思いを常に抱いていました。
自分で試したからこそわかった、マウスピース矯正の可能性
そんな中、10年ほど前にマウスピースを使った新しい矯正法が登場しました。
「これで本当に効果があるんだろうか?」と疑いながらも、まずは自分自身で試してみることに。
すると、想像以上にしっかり歯が動き、しかも目立たず、痛みも少なかったのです。
「もし自分の子どもが矯正をするなら、絶対にこの方法を選びたい」と心から思うほどの感動でした。
そこで、小児用のマウスピースについてより詳しく知るため、症例発表に足を運んで勉強するようになりました。
「これなら、小さなお子さまにも安心して勧められる」
学ぶほどにそう確信し、当院への導入を決めました。
不安を抱える保護者に、「痛みの少ない矯正」があることを知ってほしい
お子さまの歯並びで悩まれている保護者の方は、たくさんいらっしゃいます。
皆さまが口をそろえて言われるのが、
「歯並びは気になるけれど、痛い思いをさせたくない」
「矯正って、いつから始めればいいのかわからない」
ということ。
そんな保護者の方に「小さいうちから始めれば、痛みや負担の少ない治療ができる」ということをお伝えしたいと思っています。
早めにスタートすることで、抜歯や強い力をかける必要を減らし、自然な歯並びへと導くことができるのです。
初診で来られるときは、どの親御さんも不安そうな表情をされています。
ですが、1ヶ月に1回の通院とカウンセリングを重ねる中で、徐々にリラックスされ、また結果が出始めることで安心してくださる方が多いです。
今では、待合室が患者さま同士の交流の場になっているほど、多くの方にお越しいただけるクリニックになりました。
これからも、お子さまの健やかな成長とご家族の笑顔のために、誠実に、丁寧にサポートを続けてまいります。
なぜ、子どもの矯正は“今”始めるべきなのか?

お子さまの歯並びを気にされている方は、これまでにもインターネットで情報を集めたり、近所の歯科で相談したりしたことがあるのではないでしょうか。
中には、歯科医師に「大人になってからでいい」と言われた方もいらっしゃるかもしれません。
しかし本当に、大人になってからの治療でいいのでしょうか?
答えは「No」です。
成長期の今だからこそ、歯の位置を自然なかたちで整えることができ、将来の抜歯や大がかりな矯正を避けられる可能性が高くなります。
歯だけでなく、姿勢や呼吸の癖にまでアプローチできるのは子どもの時期の矯正だからこそ。
なるべく早いうちから治療を開始することで、負担を大きく軽減させ、高い効果が期待できるのです。
今はまだ、小児矯正に専門的に取り組んでいる歯科医院の数は少ないのが現状。
気になる歯並びがあるなら、「いつから始めればいいんだろう?」と迷う前に、まずは専門家に相談してください。
「自信の持てる笑顔」を、お子さまに贈りませんか?

当クリニックでは、小児矯正に10年以上取り組んできた院長自らが、丁寧に診断と治療を行います。
マウスピースを使った矯正治療だから、痛みや負担が少なく、お子さまにとってもストレスが少ないのが特徴です。
さらに、マウスピース矯正の効果を高める「12項目のプログラム」にも1ヶ月ごとに取り組んでいただきます。
月に一度のチェックとアドバイスで、しっかりとサポートいたします。
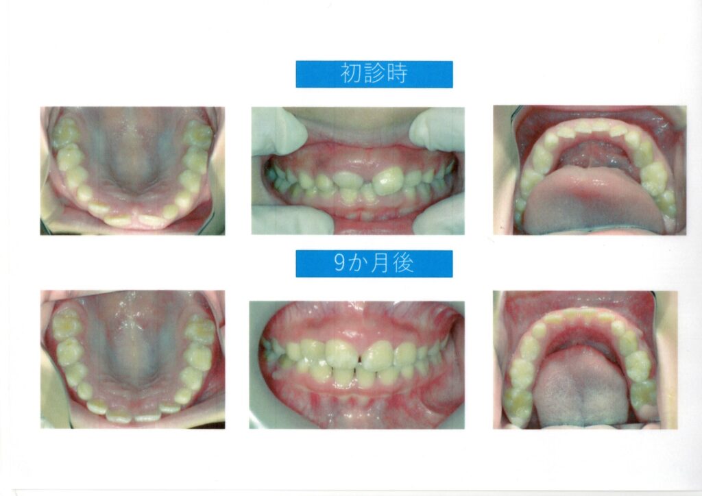
治療を始めて3〜4ヶ月経つと、歪んでいた歯が少しずつ整い始め、目に見える変化を感じていただけるでしょう。
1年ほどで、「ここまでキレイになるなんて」と驚かれるご家族も少なくありません。
「人前で自信を持って笑える」――そんな人生を、お子さまにプレゼントしませんか?
今の一歩が、お子さまの未来を大きく変えるきっかけになります。
患者さまの声
「針金を使わない矯正」
針金を使わずに歯並びが治ってうれしいです!
「早めに治療してよかった!」
他の歯科では大人になってから矯正しましょうと言われていましたが、ひだまり歯科で早めに治療してくれたおかげで、キレイな歯並びになりました!
「歯を抜かなくてすみました!」
歯を抜いてから矯正しましょうと他院で言われましたが、ひだまり歯科では歯を抜かずに歯並びを治してもらえてよかったです。
「芦屋ひだまり歯科矯正クリニック」が選ばれる理由

①小児矯正の専門性と豊富な実績
小児矯正を専門的に行っている歯科医院は、実はそれほど多くありません。
当院は、10年以上にわたり小児用マウスピース矯正に取り組んでおり、これまでに多数のお子さまの歯並びを改善してきました。
患者さまからのご紹介も多く、口コミを見て来院される方もいらっしゃるほど。
これからも県外の専門医とも継続的に情報交換を行い、最新の知識を取り入れながら、より良い治療を追求していきます。
②マウスピースを使った矯正治療+12項目のプログラム
当院では、ただマウスピースを装着するだけでなく、その効果を最大限に引き出すための「12項目のトレーニングプログラム」を導入。
舌の使い方や呼吸・姿勢といった「お口の機能」を高める運動に、1ヶ月ごとに取り組んでいただきます。
小児用のマウスピースは、大人用とは違い、日中の1〜2時間(テレビを観ながらでも可)と寝るときだけでOK。
負担が少なく、続けやすいのが特徴です。
このマウスピース+トレーニングの併用治療を行っているのは、芦屋市内では当院だけ。
「ただ着けるだけ」の治療よりも、効果をしっかり実感していただける自信があります。
③納得と安心を生む丁寧なカウンセリング
初回のご相談から、検査結果の説明、治療内容のご提案まで、すべてカウンセリングルームで丁寧に進めていきます。
お子さまの成長に関わる大切な治療だからこそ、不安や疑問があれば、どんな小さなことでもご相談ください。
導入後も、必要に応じてカウンセリングルームでプログラムの確認やフォローアップを行うことも。
安心して通っていただける環境を整えています。
④子どもが笑顔で通える、温かい雰囲気
「今日の服素敵だね!」
「夏休みはどこ行ったの?」
そんな何気ない会話から始まる当院の診療。
スタッフ全員でお子さまに声をかけ、リラックスできる空気づくりを大切にしています。
頑張ったことはしっかり褒めて、楽しみながら治療に取り組めるようサポート。
「また来たい」と思ってもらえる雰囲気づくりに力を入れています。
初診の流れ
①ご来院

患者さまを笑顔でお迎えします。お約束の日時にお越しください。
②初診カウンセリング

初回のご来院では、カウンセリングシートをご記入いただきます。
カウンセリングシートを書いていただくためのお席にご案内します。
また、カウンセリングシートをもとにお話を伺います。
③検査

レントゲン写真や歯の写真をお撮りしていきます。
④結果説明

検査結果をご説明いたします。
⑤ご予約とお会計

検査が終わりましたら、お会計をします。
また次回、検査結果をもとに、詳しい治療計画や費用をお伝えしますので、そのご予約をお取りいただきます。
メニュー・料金

お子さま用の矯正用マウスピースを用いて歯並びを治します。
1期治療(矯正用マウスピースと、アクティビティによる歯並び改善)
26万円+税
2期治療(矯正用マウスピースと、針金を用いた装置で歯並び改善)
40万円+税
※開始する年齢によっては、2期から治療を開始することもあります。
※1期、2期で歯並びが完全に改善しない場合は、追加治療を行うことがあります。
お支払方法
- 現金
- 各種クレジットカード
- 銀行振込
- デンタルローンによる分割払い
よくあるご質問

Q.マウスピースだけで本当に歯並びが治りますか?
A.多くの方は矯正用マウスピースだけで治っています。
ただ、残念ながら、中には矯正用マウスピースだけではキレイな歯並びにならない方が少数いらっしゃいます。
その場合は、針金などを用いて矯正治療をすることがあります。
Q.自分の子が、矯正用マウスピースを入れてくれるか心配です。
A.矯正用マウスピースは、慣れれば数日で違和感がなくなります。
最初さえ頑張ってもらえれば問題なく着けられると思います。
Q.矯正治療中は、月に何回行く必要がありますか?
A.月に1回程度です。
Q.駐車場はありますか?
A.ひだまり歯科の近隣のタイムズと提携しておりますので、タイムズにとめていただければ診療時間分のチケットをお渡ししています。
Q.支払いはクレジットカードでもいいですか?
A.はい、大丈夫です。ひだまり歯科では各種クレジットカードでお会計できるよう対応しております。
Q.分割払いは出来ますか?
A.はい。他社のサービス(デンタルローン)を利用すれば、分割でのお支払いも可能です。
ご予約・お問い合わせ

ご予約・お問い合わせは、WEB予約、公式LINE、もしくはお電話より承っております。
WEB予約はこちら
公式LINEはこちら
お電話はこちら
0797-34-8188
最後に

あらためまして、「芦屋ひだまり歯科矯正クリニック」院長の飛田達宏です。
わたしはこれまで多くのお子さまと向き合い、小児矯正に取り組んできました。
ある日、とても真面目なお子さんが治療に来られました。
スタートは少し遅めの小学校高学年。
しかし、その子は毎日のトレーニングにしっかり取り組み、他の子たちよりも早く効果が出て、見違えるような歯並びへと変化していきました。
「始める時期も大切だけど、それ以上に大切なのは“どう取り組むか”なんだ」
そう気づかせてくれた、印象的な症例でした。
治療が進むにつれて、最初は緊張していた表情が少しずつほぐれ、笑顔が増えていく。
「ここに来てよかった」と保護者の方に安心していただける。
そんな瞬間に、わたしはこの仕事のやりがいを感じています。
わたし自身も、歯並びに悩み、大学生になってから矯正をしました。
健康な歯を4本抜き、ワイヤーをつけて2年間……。
「もっと早く始めていれば、こんなに大変な思いをしなくて済んだのに」と何度思ったことでしょう。
だからわたしは今、歯並びで悩むお子さまと、その保護者の方に伝えたいのです。
「早いうちに始めれば、抜歯せず、ワイヤーも使わずに済む可能性が高い」ということを。
「まだ小さいから様子を見ましょう」
「永久歯が生え揃ってからにしましょう」
「ワイヤー矯正しか方法がないですね」
もしそんなふうに言われて、不安や迷いを感じているなら、どうか一度、当院にご相談ください。
当院はマウスピースを使った、負担の少ない矯正治療に特化した小児矯正クリニックです。
その専門性には、自信があります。
「矯正は費用が高そう……」と思われる方も多いかもしれませんが、初回の相談でいきなり高額な請求をすることはありません。
費用のことも、治療の流れも、わかりやすく丁寧にお伝えしますので、納得された上でスタートしていただければ大丈夫です。
「芦屋ひだまり歯科矯正クリニック」という名前には、“歯医者が苦手な子でも安心して通える場所にしたい”という思いを込めました。
歯科医院と聞くと、「痛い」「怖い」というイメージがあるかもしれません。
でもここは、ひだまりのように笑顔あふれる場所でありたい。
お子さまと保護者の方が、ホッとできる空間でありたい。
そう思いながら治療にあたっています。
お子さまの笑顔あふれる未来のために、わたしたちが全力でサポートいたします。
まずはお気軽に、ご相談にいらしてください。
あなたからのご連絡を、お待ちしております。
「芦屋ひだまり歯科矯正クリニック」院長・飛田達宏
クリニック案内

| 店名 | 芦屋ひだまり歯科矯正クリニック |
| 所在地 | 兵庫県芦屋市公光町7-11 |
| 営業時間 | 8:45-12:30、13:45-17:30 |
| 定休日 | 水、日、祝 |
| 駐車場 | 近隣タイムズと提携しています |